「親知らず」は、顎(あご)の一番奥に生える歯で、永久歯の中で最後に生えてきます。正式には第3大臼歯といい、成人になってから生えることが多いため「智歯(ちし)」とも呼ばれます。また、親の手を離れた頃に、親の知らぬ間に生えてくることから「親知らず」と呼ばれるようになったといわれています。
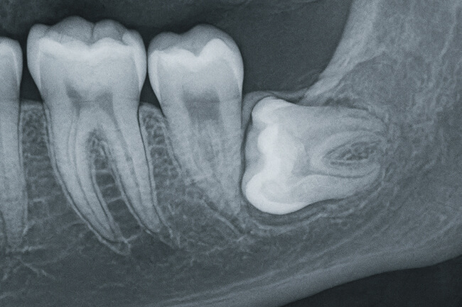
親知らずの生え方には個人差があり、
- もともと親知らずがない方
- 上下左右4本そろわない方
- まっすぐ生える方
- 斜め・横向きに生える方
- 骨の中に埋まったままの方
などさまざまです。
正常に生え、しっかり噛み合っている場合は問題にならないこともありますが、他の歯や歯ぐきに悪影響を与える生え方の場合は、抜歯を検討する必要があります。
